|
石歯科クリニック 神戸市|元町|鯉川筋|一般歯科|審美歯科|矯正歯科|小児歯科|
神戸市中央区下山手通3-13-9 TEL078(333)1441
Q&A
どうして少人数診療を心がけているのか?
人には能力というものがあり、もちろん歯科医師とてその例外ではありま
せん。充実した診療は時間をかける事によってもたらされるのです。たとえ ば一日の診療時間が7時間半で来院患者数が40人だとすると、歯科医師1 人では1人あたりの診療時間はたったの11分かそこらしかありません。この 程度の時間で良い治療を行うことは困難であると考えられます。もちろん歯 科衛生士に任せられる処置もありますから、あくまで数字の上でのお話です が、納得のいける良い治療を行うに際し、充分なる時間をかけられるのなら かけることに越したことはありません。
充実した診療行為を心がけていると同時に、事務手続きの煩雑化の影響も
あり、最近ついつい予約時間を越えてお待たせする事が多くなってきていま すが、どうしてもお時間の無い時以外はあらかじめご了承下さい。
どうして全顎治療なのか?
人には個性があります。それゆえ歯科医師や冠や入れ歯を作る歯科技工士
それぞれにおいても違いが生じてきます。従って、様々な歯科医師により治 療を受けた場合、その一つ一つに個性があり全体の調和が保たれない場合 が出てきます。
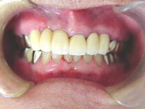
下の症例写真をご覧ください。
治療前
![]() ![]() ![]() ![]() ![]()
その時々に部分的な治療を行った結果、奥歯のかみ合わせが少しずつ低く
なり、遂には下の前歯部が上の前歯部に突き上げた結果、この様な状態を呈 するようになりました。
これは予後の説明なしに無計画に治療を行った歯科医の側に責任の一端
があるのはもちろんですが、治療を受ける側にも、早く終わりたい、痛い所 だけを治したい等の希望により生じた結果でもあります。
治療後
![]() ![]() ![]() ![]() ![]()
また、たとえ現在痛みの無い歯であっても、歯周病に罹患していたり、根
の先が悪くなってきている場合(根尖病巣)もあります。
もちろん全ての症例で冠などを外して一から治療をしていくという訳では
ありませんが、不調和があれば現在たとえ痛みの無い歯でも治療をしなけ ればならないという必然性が出てきます。
上記の症例では全ての補綴物を取り外し、神経の処置(根管治療)も一から
やり直しました。治療期間は患者さんの努力によりかなりの頻度で通院なさ れた結果、約半年で治療後の状態になっています。現在は歯肉の状態維持の ため数ヶ月に一度の割合で通院されています。
この様な治療がなされるためには、治療を受ける側の努力も必要です。も
ちろん医師と患者の間に信頼関係が無ければこの様には行きません。当院 では、説明はもちろんのこと、どんな些細な質問でも答えることにより、お互 いの信頼関係が築かれることを重視しています。
石歯科クリニック
神戸市中央区下山手通3-13-9 TEL078(333)1441
神戸市|元町|鯉川筋 | 三宮|一般歯科|審美歯科|矯正歯科|小児歯科|
|