|
石歯科クリニック 神戸市|元町|鯉川筋|一般歯科|審美歯科|矯正歯科|小児歯科|
神戸市中央区下山手通3-13-9 TEL078(333)1441
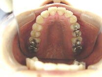
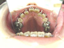
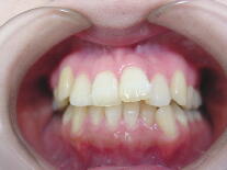
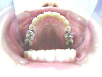
症例1 (10代 女性) 左右上下顎第一小臼歯抜歯例
![]() ![]() ![]()
初診時
![]() ![]() ![]()
初診から1年6ヶ月後
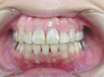
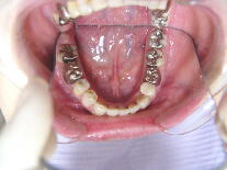
症例2 (20代 女性) 非抜歯例 ![]() ![]() ![]()
初診時平成12年6月
![]() ![]() ![]()
初診から6ヶ月後
![]() ![]() ![]()
初診から1年3ヶ月後
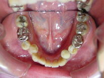
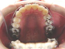
症例3 (30代 女性) 右下顎切歯先天性欠如
左右上顎第一小臼歯・右下顎第一小臼歯抜歯例
![]() ![]() ![]()
初診時
![]() ![]() ![]()
初診から4ヶ月後
![]() ![]() ![]()
初診から1年3ヶ月後
![]() ![]() ![]()
初診から1年6ヶ月後
![]() ![]() ![]()
初診から1年9ヶ月後
![]() ![]() ![]()
初診から2年9ヶ月後
※本症例写真は結果を保証するものではありません。治療期間、結果については個人差があ
ることをご了承ください。
石歯科クリニック
神戸市中央区下山手通3-13-9 TEL078(333)1441
神戸市|元町|鯉川筋 | 三宮|一般歯科|審美歯科|矯正歯科|小児歯科|
|