|
石歯科クリニック 神戸市|三宮|元町|鯉川筋|一般歯科|審美歯科|矯正歯科|小児歯科|
神戸市中央区下山手通3-13-9 TEL078(333)1441
当院では歯周病、歯内療法(根管治療)、審美治療、歯列矯正に至るまで、
豊富な経験と十分な知識を持つ歯科医師が責任を持って施術いたします。
院長は北海道大学歯学部附属病院の保存修復科において歯内療法(根管
治療)、審美(CR;レジン、セラミック治療)、漂白(ホワイトニング)を専門に 研鑽し、また週1回当時の特殊診療部で障害者治療にも従事してきました。 大学院では象牙質歯髄複合体における電子顕微鏡による形態学的な分野 を研究し、歯内療法で重要となる根管や根尖の形態について、また、主に白 い詰め物に使用されるレジンと歯との接着については専門分野となりま す。
外科的領域においても歯根端切除術や意図的再植術、歯周外科等の高度な
手技が必要な分野にも対応します。
特に歯を残すという保存修復という分野に在籍していた事から、下記の症
例に示すよう、安易に抜歯にならないよう努力を惜しみません。
小児歯科
当院はこどもの治療に力を入れています。虫歯治療だけでなく、予防等の
将来を見据えた治療や指導を行っています。
また、こどもの歯並びについては矯正担当医が常時勤務していますので、
いつでも相談やアドバイス、さらに必要な場合は治療にも入ることができま す。
特にこどもの歯並び治療は時期により介入の仕方が異なってきます。
基本的に軽度の歯並び異常の場合は永久歯に生え替わるまで様子を見て
いきますが、例えば、受け口(下顎前突)、出っ歯(上顎前突)、すれ違い咬合 や強度の叢生(強く入り組んだ歯並び)等については早い時期に治療に入る ことによって、大きくなってからの抜歯や外科的処置を避ける事につなが る可能性があります。
歯並びについては定期的にお子様が通院されることにより、適切な時期
に治療開始を提案することができます。
担当学校歯科医
神戸華僑幼稚園
神戸中華同文学校
神戸市立なぎさ中学校
神港学園高等学校
※本症例写真は結果を保証するものではありません。
また、治療期間、結果についても個人差があるのでご了承ください。
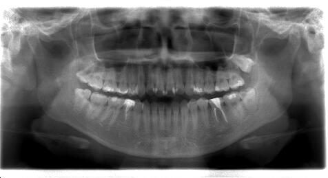
1.根管治療 (歯科用マイクロスコープによる精密根管治療も行っています。)
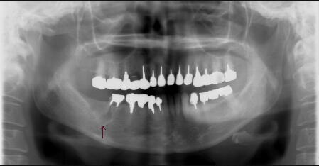
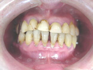
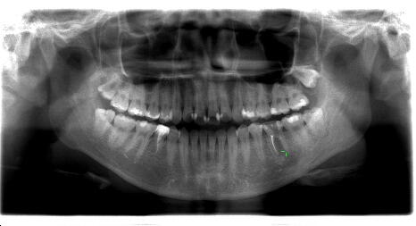
(1)不十分な根管(神経の通っていた管)治療が原因で右下の顎が腫れています。(↑病巣
が極めて大きい) ![]() ![]() ![]() ![]()
当初は抜歯を考慮しました(上左図)が、根の治療を丁寧に行うことによって、半年後には
ほぼ問題の無い程度(上右図)にまで骨が修復され十分に機能が回復されました。
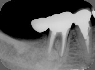
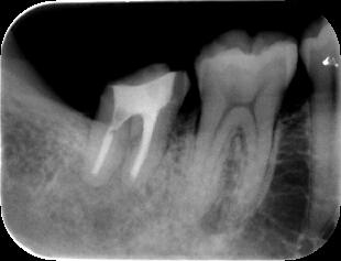
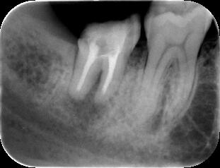
(2)初見では抜歯もしくは遠心根を抜去(ヘミセクション)を考慮しましたが、20代前半で
まだ若いため、約1年半をかけて根の治療を行いました。 ![]() ![]() ![]()
パノラマ画像:黒く写っている病巣が徐々に小さくなっていく様子が分かります。
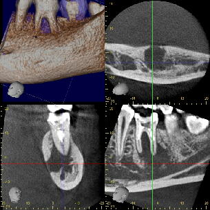
![]() ![]()
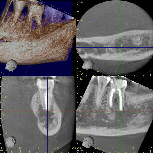
CT画像:当初病巣の下底は下顎管付近まで、また頬側の皮質骨にも穴が開いています
が、徐々に黒い病巣部分が小さくなってきている様子が分かります。 2.再植を応用した根の治療
位置的、神経の通り道の形態的な事由により通法による根管治療ができない場合に、一度
歯を抜歯して、お口の外で根の治療を行ない、更には悪くなった歯の周囲の組織も除去し て治す方法です。 ![]() ![]() ![]() ![]() 補綴治療について
保険で使用される金属は政府により規定されたもので、身体に為害性が
あると考えられる材料を含むため、金属アレルギーの原因となったり、歯肉 退縮を急激に進行させたりする場合があります。また、たとえ保険外の補綴 物であっても、歯科医師の考え方の違いや異様に値段が安い場合には、低 カラット金合金あるいは卑金属類を使用している場合があります。
当院は基本的に生体親和性が良く、且つ審美性の高いオールセラミックに
よる補綴治療を目指しています。
下図の症例写真の歯肉の状態をご覧いただいて、ブラッシングが重要なこ
とは当然ですが、それ以外にもいかに使用する材料によって歯肉に変化が 生じているかについても注目してください。
※本症例写真は結果を保証するものではありません。
また、治療期間、結果についても個人差があるのでご了承ください。
1.オールセラミックによる審美治療
ジルコニアブリッジ(犬歯から小臼歯)
![]() ![]()
ジルコニアブリッジ(前歯部)
![]() ![]()
ジルコニアとe-max による補綴
![]() ![]()
重度のくいしばりや歯ぎしりが原因でかむ部分が消失しているので、仮歯を装着して咬合
挙上を行ってからオールセラミックによる最終補綴を行いました。
2.セラミック冠(メタルボンド・陶剤焼付鋳造冠)を応用した審美治療
A、セラミック冠で治療した症例(上顎前歯部4本のみ治療)
切歯2本は神経のない無髄歯の為、徐々に変色をきたしていました。左右の側切歯は保険
のプラスチック前装冠です。表面がプラスチックの為時間の経過と共に材料が徐々に劣化 して変色をきたしています(下左図)。ひどい場合には削れて裏打ちの金属が見えてくる こともあります。 ![]() ![]()
歯肉状態の改善をはかり、十分なるブラッシングができるようになった後、それらをセラ
ミック冠で修復しました。
B、部分矯正の後、セラミック冠で治療した症例(上顎前歯部のみ治療)
![]() ![]() ![]()
奥歯のかみ合わせは比較的問題なかったので上の主訴のみ治療。上の前歯を治療するこ
とによって下の前歯も自然に良い位置に移動しました。歯並びを改善することにって歯肉 状態も改善されたことに注目してください。
C、部分矯正の後、セラミック冠で治療した症例(上下6本前歯部)
![]() ![]()
左上側切歯(↓)が口蓋側(内面方向)に強く傾斜して、術前では根面板(根に金属の蓋がし
てある状態)で、上の前歯部はブリッジの状態でした。その歯を唇側に引き出して1歯ずつ 独立した状態にし、セラミック冠を装着しました。歯磨きが容易になったので歯肉状態が 改善され、きれいなピンク色を呈しています。 4.低位咬合の改善
部分的な治療を希望するあまり、繰り返し不適切な治療を受ける結果となり、臼歯部での
かみ合わせが極端に低くなりすぎて、下の前歯が上の前歯に突き上げるようになる症例 をよく見かけます。このような場合、審美的な問題はもちろんの事、顎関節の諸症状そし て耳鳴りや肩こり等の身体的な諸症状を誘発する場合があります。
A、歯周病が進行している上に、低位咬合による前歯部での突き上げ接触が起こり、前歯
がグラグラの状態でした。 ![]() ![]()
奥歯のかみ合わせを挙上して、前歯部での接触をなくし、歯周病の治療に専念した結果、
歯の動揺が収まり、最終補綴物を装着することにより審美状態が改善されました。
B、不適切な補綴治療によって低位咬合が生じ、審美的にも問題がありますが、耳鳴り、肩
こり等の身体的諸症状の誘発が懸念されました。 ![]() ![]()
上顎を左右理想平面にあわせた後、下顎の臼歯部を仮歯を用いて徐々に上げて理想状態
にし、しばらくの間身体的な諸症状が出現しないか確認した後、最終補綴物を装着しまし た。 4.部分矯正
上下顎の第二大臼歯は虫歯になって神経がしんだ場合、根管治療が大変困難で根尖病巣
やのう胞が生じやすい場所です。下の写真は第二大臼歯が保存困難のため抜歯になり、そ のままだと相対する歯が歯の無い所に挺出してくるので、通常は延長ブリッジや部分入れ 歯等になるのですが、親知らずを有効利用し矯正移動させた症例です。 ![]() ![]()
上の写真は埋っていた親知らずを切開して歯冠部をだし、移動させた症例です。
![]() ![]()
下の親知らずを移動させた症例です。下顎の大臼歯の移動は時間がかかります。
5.歯のホワイトニング ![]() ![]() ![]() ![]() ![]() ![]()
※歯のホワイトニングは期間、結果に大きな個人差があります。また歯の色が元の色に戻
っていく後戻りという現象も生じますので、詳細は歯科医師にご相談ください。
石歯科クリニック
神戸市中央区下山手通3-13-9 TEL078(333)1441
神戸市|三宮|元町|鯉川筋|一般歯科|審美歯科|矯正歯科|小児歯科|
|